前述したとおり、SSF2.0導入によって明らかにモーションアーチファクトの低減を実感できました。そこで、SSF2.0の有用性をより具体的に知るために以下3つの項目を比較・検討しました。
① 位相探索なしで最適心位相を得られた症例数の比較
SSF2.0導入前、導入後それぞれ連続100症例において、位相探索せずに撮影後自動で再構成された画像が最適心位相であった症例数をカウントし、比較を行いました。

Fig4. SSF2導入前(SSFなし)とSSF2導入後 比較
位相検索なしで至適心位相が得られた件数、非至適位相のため位相検索が必要だった件数、撮影不良であった検査の割合
SSF2.0導入前後で位相探索不要だった例は約4割から7割に上昇しました。(Fig.4)
導入前は78%や42%など少しでも動きの影響の少ない心位相を検索する必要がありましたが、SSF2.0導入後は位相探索不要な症例が大幅に増えました。そこで、SSF2.0の効果を知るためにSSFなし、SSF、SSF2.0の視覚評価比較を行いました。
② SSFなし、SSF、SSF2.0 視覚評価
直近20症例において、冠動脈の動きをSSFなし、SSF、SSF2.0でのアキシャル断面で視覚評価を行いました。視覚評価はCT冠動脈解析に携わる放射線技師6名で行い、以下5点満点で評価を行いました(Fig5)。また、20症例の心拍内訳はFig6のとおりです。

Fig5.視覚評価 指標

Fig6. 20症例 心拍数内訳

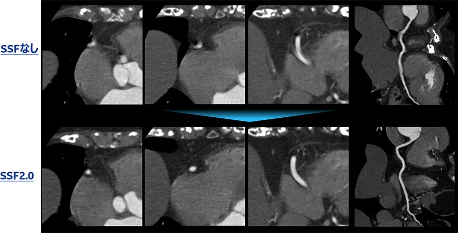
Fig.7 SSFなし、SSF、SSF2.0比較例
評価可能である3点以上がSSFなしでは40%、SSFで70%、SSF2.0で85%となりました(Fig8)。

Fig8. SSFなし、SSF、SSF2.0 視覚評価結果
また、心拍別で比較した場合、60BPM以下におけるSSFなし、SSF、SSF2.0の差はそれほどみられませんでしたが(Fig9 赤枠)、従来静止した冠動脈の描出が難しかった70BPM付近において、SSFやSSF2.0では改善がみられ、特にSSF2.0ではその効果が顕著にみられました(Fig9 黄枠)。
さらに、70BPM以上ではSSFでも大幅な改善が難しく、SSF2.0のみ大きな改善がみられました (Fig9 青枠)。

Fig9. 心拍別 SSFなし、SSF、SSF2.0 視覚評価結果
③ 最適心位相探索にかかった再構成回数の比較
②で評価の低かった症例をSSFなしとSSF2.0で位相を探しなおしてそれぞれの再構成回数を比較しました。 Fig10に示すように、SSF2.0では明らかに再構成回数が減っていることがわかります。位相探索作業の時間が大幅に減ったことでコンソールを占拠する時間が減り、他の検査にCTを使える時間が増えました。

Fig10. SSFなし、SSF2.0 最適心位相探索にかかった回数比較