Revolution™ Frontier導入後の使用経験


東京医科大学 八王子医療センター
放射線部 南里 博克 様

 

東京医科大学八王子医療センター様(東京都)では、2018年11月にRevolution Frontierを導入頂きました。
この度導入後の使用経験を伺いました。

 

当センターは八王子市を含めた南多摩医療圏内の中核病院として、先進医療と地域医療の機能を兼ね備えている医療機関です。36科610床の総合病院であり、CT装置を3台有し、年間2万8,000件程度の検査を行っております。また、救急体制は3次救急を受け入れております。

東京医科大学八王子医療センター様

 

1 導入後の感想

 

Revolution Frontierを導入してからの感想として、この装置は昨今のCT検査に求められている高画質・低被ばくはもちろんのこと、全身領域でスペクトラルイメージングを実現できる装置であると感じています。
その万能性を活かし、通常検査から特殊検査まで難なくこなす、頼れるCT装置となっています。

 

2 新機能の運用

 

・ガーネットテクノロジーについて
Revolution Frontierの代表的なハードウェア技術としてガーネット検出器が挙げられます。このガーネットという物質の特性は、X線が検出器に入射した際のX線反応速度が従来の検出器と比較して100倍速く、アフターグローも4倍速くなっています。この特性を活かし、画像の空間分解能向上に必要な1回転あたりのView数を2倍以上に増やすことで高画質化を可能にします(ハイレゾリューションモード)。また2種類の管電圧の高速に切り替え撮影をするデュアルエナジースキャンが可能となっています(GSI(Gemstone Spectral Imaging))。

 

・ハイレゾリューションモードによる高解像度画像
ハイレゾリューションモードは特に整形領域や内耳など細かな構造を観察する領域に使用しております。従来では画像化が困難であった微小骨折の高コンラスト領域や、腱に代表される低コントラスト領域でも詳細なイメージングが可能となっています。また、小焦点での撮影においてでも最大管電流が420mAまで出力できるため、被写体の大きさに制限を受けにくいことも臨床で使用するにあたり重要なポイントだと考えています。

 

・スペクトラルイメージングによる新たな画像化アプローチ
スペクトラルイメージングの特徴は、デュアルエナジースキャンを行うことで後処理により様々な画像を出力することにあります。
そのひとつが、物質を弁別したうえで特定の物質を描出することが出来る物質密度画像です。たとえばヨードマップと呼ばれる画像では、人体が水とヨードで組成されていると仮定し、ヨードの密度のみで画像を表現するため、より明瞭かつ正確にヨード取り込みを表現することが出来ます。 臨床利用としては、上記解析法以外にも仮想単色X線画像や仮想単純画像を使用しており、頭部から体幹部、整形領域と幅広い領域にて活用しています。

 

3 導入後の効果

 

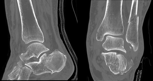
・ハイレゾリューションモードで微細な骨折描出
ハイレゾリューションモードが有効であった足関節の症例を提示します。


高分解能モードを使用することにより、骨梁まではっきりと画像化することができます。
本症例は複数の骨が骨折をしている症例ですが、どの骨においても細かな骨折線や骨片まで描出することができています。

 

・スペクトラルイメージング活用で治療までの時間を短縮活用
救急領域に対しスペクトラルイメージングを活用しています。
臨床では従来、肺塞栓に代表される微小な血流イメージングや造影剤と出血の鑑別といった症例が課題になっていました。Revolution Frontierではスペクトラルイメージングによって肺塞栓や腸管虚血におけるヨード集積の画像化やヨードと水の物質弁別、微小骨折による骨浮腫描出等が可能なため、迅速な診断に貢献することができます。

腸管虚血の症例を以下に提示します。


腹部造影撮影の平衡相(造影剤注入後120秒)をデュアルエナジーで撮影した画像です。矢印部分に虚血領域を認めます。ヨードマップにてヨード集積を強調し、さらにカラー表示を併用することによって、視認性の高い画像を提供できるため、救急対応のDrからも高い評価を頂いています。

 

スペクトラルイメージング技術により、検査から治療までに要する時間が短縮し、迅速な治療が求められる救急領域に対し非常に効果的であると感じています。
新しくスペクトラルイメージングを導入し、画像解析マニュアルを作成したことによって、慣れない操作者が担当する夜間帯においても、肺塞栓や腸管虚血などのスペクトラルイメージングが有効な症例についてはルーチン化して運用することができています。

 

4 さいごに

 

様々な領域のCT検査にてRevolution Frontierを使用してきましたが、まだ機能の全てを活かしきれていないのではないかと感じています。特にスペクトラルイメージングにおいては運用が未確定な部分も多くあるため、物質密度画像や実効原子番号画像といった解析方法を使用し、検討していくことにより、新たな有用性を示す画像提供ができるのではないかと考えています。

今後も様々な検査を難なくこなしてくれるRevolution Frontierと共に、患者さんにとって有益な検査が施行できるように日々の業務に向き合っていきたいと考えています。

 

 

※お客様の使用経験に基づく記載です。仕様値として保証するものではありません。

撮影条件や部位、体格によって実際の被ばく量は変わります。
記載内容は、お断わりなく変更することがありますのでご了承ください。

関連製品

JB07762JA