心臓CTを含む複合検査におけるRevolution CTの有用性
~下肢動脈撮影を中心に~

社会医療法人 生長会 ベルランド総合病院
放射線診断科 堂前 朗 様

はじめに

 

大阪府堺市に位置する当院は病床数477床、年間救急搬送件数約7000件、さらに24時間体制の脳卒中コール(年間約450件)とハートコール(年間約550件)に対応する地域密着型の2次救急病院である。2021年にRevolution CTを導入し、現在Discovery CT750HD CT(64列)とRevolution EVO CT(64列)の3台体制で救急撮影から予約検査までを行っている。今後増え続けるであろう心臓を含む全身循環器系の検査に対応するべく導入したRevolution CTの使用経験を報告する。

病院外観

 

背景

 

当院ではTAVIやTEVAR,EVAR,さらにEVT(末梢血管治療)の手術件数が増加しており、循環器科と心臓血管外科の連携が非常に密に行われているのが特徴の一つと言える。それ故に心臓CTと大動脈CT、下肢動脈CTの撮影を一回の検査で行いたいという要望が増えるのは必然である。

当院における心臓CT検査の月平均件数は110件、その内訳が心臓のみ70件、心臓+大動脈が35件、心臓+下肢動脈が5件となっており、昨今の高齢化に伴い、今後もこのような複合的な撮影が増加していくものと考える。

放射線診断科

 

複合検査を目的としたRevolution CTの導入

 

まず心臓CTと合わせて複合検査を行う上で重要なのが、診療放射線技師の熟練度に関わらず、誰が撮影しても精度の高さを確保できるかどうか、ということである。そういう意味ではRevolution CTの導入は最適解であった。色々な複合検査がある中で特に心臓CT+下肢動脈CTでは、これまでテストインジェクション法、ボーラストラッキング法、またはそれらを組み合わせた方法など様々な撮影法を行ってきたが、これがベストと思えるものがなかったのが実情である。それらの悩みがRevolution CTを導入して解消された。

現に当院では入職一年目のスタッフも心臓CTを含む複合撮影に携わっており、一連の検査の流れを理解すれば対応可能となった。この「あまり難しいことを考えずに誰でも良好な検査ができる」を目指してプロトコールを作成している。

 

心臓CT+下肢動脈CT撮影における造影剤インジェクションプラン

 

上述の如く「検査精度の均一化」を目標としているため、可能な限り分かりやすいプランニングを意識している。心臓CTを含む複合的な検査の場合、撮影を行う順番として多くの施設が心臓を先に撮るか、間で撮るかで悩むところだと思う。当院では基本的にどんな症例でも、まず心臓を撮影しその後大動脈~下肢動脈の順番で行っている。試行錯誤の結果この順番が最も理解しやすく、おおむね良好な画像を得られるとの判断からである。

心臓CTのみの場合は、出来るだけ造影剤量を少なくするために注入時間を12~13秒に設定し、注入速度を被験者の体重に合わせて2.5ml/s~5ml/sまで細かく変化させるように決めているが、一方で下肢動脈を同時に撮影する場合は、それなりの造影剤量が必要なため被験者の体重60kgをボーダーラインとして59kg以下は注入速度3ml/s、注入量を80ml、60kg以上は注入速度を3.5ml/s、注入量を100mlに固定している。かなり極端な体重の大小を除けば、この2パターンしかないため経験の少ないスタッフでも理解しやすくなっている。

このインジェクションプランの狙いは、しっかりとした造影剤濃度で冠動脈と下肢末梢血管を撮影することにあり、後に希釈造影を用いて注入時間を延ばしたうえで、最初に注入した造影剤が末梢に辿り着くであろうタイミングで下肢を撮影することとしている。

 

 

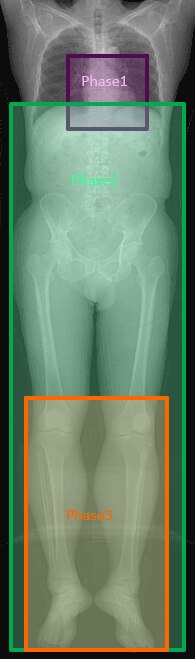
検査の流れと症例画像

 

Phase1. 上行大動脈にROIを配置しスマートプレップ法にて心臓を撮影
Phase2. 13秒後に下肢動脈を約30~40秒かけてゆっくり撮影(大動脈を含む場合は胸部から)
Phase3. 膝窩動脈以下3分枝をもう一度撮影(血流速度が極端に遅い症例の備えとして)
※ポイントとしてはPhase2の下肢動脈の撮影終了時が、造影剤注入開始から約70程度になるよう設定している。

 

 

総括

 

これまで64列CTを用いて試行錯誤のうえ様々な複合検査を行ってきたがRevolution CTの導入は革新的なものとなった。検査のスループット向上、画質向上、造影剤量の減少など、そのメリットは多岐にわたる。はじめに述べたように医師からの複合的な検査の依頼は増加傾向にある。その検査の組み合わせは日々多様化しており、それに応えていくためには「いかに簡単に良好な画像を得るか?」を突き詰めていかねばならない。特定の技師のみがそれらをこなせるということではなく、経験の浅いスタッフでも良質な画像を提供できるという面では非常に有用な装置である。

最後に、ここで紹介した検査に目を見張るような特別な手技は何も施していない。しかし、それでも診断に必要十分な画像を得ることができる。それこそがRevolution CTの最大の強みであると感じている。

 

※お客様の使用経験に基づく記載です。仕様値として保証するものではありません。

撮影条件や部位、体格によって実際の被ばく量は変わります。
記載内容は、お断わりなく変更することがありますのでご了承ください。

関連製品

JB08315JA