SnapShot FREEZE2.0を使用したSHD治療支援


小倉記念病院
放射線技師部 画像センター
古門 典子 様

病院紹介

 

当院は27の診療科(心臓血管病センター、脳卒中センター、消化器病センター・内視鏡センター、腎センターなど)、病床数656床を有する北九州市の基幹病院として、平成28年には創立100周年をむかえました。近年では高齢化社会に対応する医療システムとして、急性期病院と回復期病院の機能分化、病診連携、在宅医療の充実などを進めてきております。
特に循環器領域においては通算70,000件を超えるPCIの治療件数、また直近では年間500件を超えるSHD領域の治療を行っており、循環器疾患のすべての領域において、最善の高度先進医療の提供を目指しています。

 

使用機器及びSnapShot FREEZE2.0

 

当院では複数台CT装置が稼働していますが、心臓専用CTとしてGE Healthcare社のワイドカバレッジCTであるRevolution CTを使用し、1日平均して30件程度の心臓CT検査を実施しています。
この度心臓全体のモーションアーチファクトを抑制するアルゴリズムであるSnapShot FREEZE2.0(以下SSF2.0)が新しく導入されました。SSF2.0はベクトル演算アルゴリズムを用いて、冠動脈に加えて、大動脈弁や僧帽弁などの弁構造や心筋など、心臓全体の動きを抑制することにより、心臓CTの精度を格段に向上させるアプリケーションです。特にSHD治療支援においてCTの新しい活用が期待されており、今回は当院での活用法について、症例を交えてご紹介します。

Revolution CT

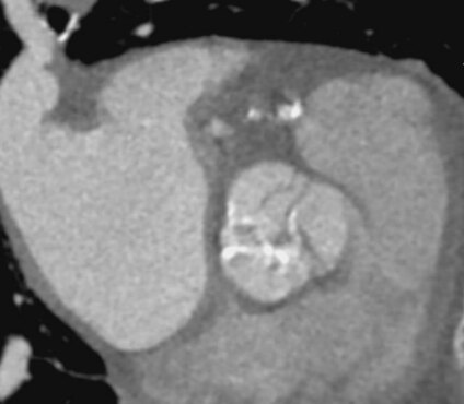
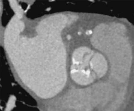
SSF2.0 Off

SSF2.0 On

 


SSF2.0処理プロセス

 

SHD治療においての心臓CTの役割

 

 

本資料では当院で治療件数の多い、TAVI、Mitra clip、LAAOについての各種臨床画像を紹介致します。

 

TAVI提供画像

 

重度の大動脈弁狭窄症に対して行われるTAVIの術前検査では、ガイドラインにも示されているようにCTでの評価が一般的となっています。
大動脈弁複合体の評価として、まず拡張期にて大動脈弁の形態、石灰化の量や分布が評価できる画像をVR、MPRで提供しています。また弁輪破裂のリスクが高い石灰化の有無の評価、冠動脈分岐部の高さ(冠動脈閉塞のリスク予測)の計測など、大動脈基部と大動脈弁の評価などを行っています。

 

TAVIにおける弁輪径の計測およびリスク

 

TAVI弁には、大きく分けて2種類の弁があり、sapienシリーズは面積から算出した弁輪径を用い、Evolut Rは外周長を用いてサイズを決定しており、弁輪径の計測は弁のサイズ選択に影響を与えます。
正確な弁輪径の計測が行われていない場合のリスクとしては、自己弁輪サイズに比べ植込まれる人工弁が大きすぎる場合には弁輪破裂が生じる恐れがあり,逆にサイズが小さすぎる場合は,人工弁の脱落や弁周囲逆流の頻度が高くなることが予測されます。

 

弁輪径計測の最適心位相とは

 

弁輪径の計測を行うのに最適な心位相は、R-R10~30%の駆出期が望ましいと考えます。駆出期では、LV内圧が高くなり、大動脈弁が広がり弁輪径が大きくなります。しかしCTで静止した画像が得られやすい心位相は収縮末期のR-R40-50%程度であり、SSF2.0導入以前では、駆出期での静止画像の取得が困難でした。

下図はHR77の高心拍の症例で、SSF2.0と第一世代のSSF1.0での駆出期の画像の比較です。SSF1.0ではどの位相でもモーションアーチファクトが残存しています。 SSF2.0導入後は、どの位相においても(図1)、またどの断面においても(図2)、モーションアーチファクトが抑制された画像が得られていました。

 


図1 Annulus断面の比較

図2 STJからLVOT断面までの比較

 

SSF2.0導入後における弁輪径計測ワークフローの変化

 

SSF2.0の導入によりワークフローが変化しました。導入以前は、20~40%の5%刻みの画像を作成し、その中からモーションアーチファクトが少ない位相のうち、かつ弁が開口していて、弁輪径が大きい位相を探し、SSF1.0の処理をかけていました。それでも、静止した画像が得られない場合は、一番モーションアーチファクトの少なかった位相の前後2~2%刻みのデータを作り、SSF1.0の処理をかけて、最も静止した画像を探して計測を行っていました。位相選択に時間を要し、また計測者間で値にバラつきもありました。

SSF2.0導入後は、駆出期の15~30%の5%刻みの画像をつくり、その中から弁が開口していて、弁輪径の大きい位相を探してSSF2.0の処理をかければ、静止画像を得ることができ、かなり作業効率が向上しました。

SSF2.0導入以前は、『モーションアーチファクトが少ない計測できる位相』が第一選択でしたが、SSF2.0導入後は『最大弁輪径となる位相』を選択でき、最適な心位相で計測できるようになりました。実際に、SSF2.0導入前後で選んだ位相がどう変わったか調べてみたところ、導入以前は平均R-R29.8%でしたが、SSF2.0導入後では平均R-R20.4%となりました。


 

各種症例紹介

 


TAVI術前の拡張期の画像です。
モーションアーチファクトが抑制され、石灰化評価や計測がしやすい画像となっています。

LAAO6か月後に左心耳の閉鎖状況やデバイス血栓症の有無の確認のために心臓CTを行った症例です。SSF2.0では、冠動脈もデバイスもほぼアーチファクトがない画像が得られています。

TAVI後の血栓弁の評価です。TAVI後のCTで弁葉に低吸収域を認める症例を見かけますが、この所見はHALTと呼ばれ、人工弁に付着した血栓と考えられています。HALTが大きい症例では弁葉の動きを障害することがあるため、CTでの評価は重要です。
HR82の高心拍で、モーションアーチファクトの影響が強かった症例です。SSF2.0でも金属からのアーチファクトは少し残存していますが、モーションアーチファクトが抑制され、SSF2.0 Offでは見えずらかった弁葉のわずかなlow densityをSSF2.0ONではしっかりと確認できるようになりました。

Mitra clip術前の症例です。
SSF2.0では、逸脱している僧帽弁や乳頭筋がくっきりと見え、ひも状の細い腱索までも明瞭にみえています。僧帽弁のような薄い構造物でもモーションアーチファクトが抑制されています。

 

 

総括

 

SSF2.0により、任意の位相で静止画像を得ることができるようになり、至適心位相の選択にかかる作業時間削減、観測者間でのバラつきの軽減ができました。また、SHD治療において、大動脈弁や僧帽弁など薄い構造物の描出能を大幅に向上させ、解剖学的理解の助けとなっています。
今後も、SHD治療の一助となるような、画像描出を追及していく必要があると考えます。

 

※お客様の使用経験に基づく記載です。仕様値として保証するものではありません。

撮影条件や部位、体格によって実際の被ばく量は変わります。
記載内容は、お断わりなく変更することがありますのでご了承ください。

関連製品

JB06391JA