Revolution CTによる心臓CT・Dual Energy・高速撮影の臨床的メリット


医療法人徳洲会 札幌徳洲会病院
診療放射線部  馬場 貴之 様

病院紹介

 

札幌徳洲会病院は北海道の道庁所在地、札幌市の中心部より南東に7.5kmほど離れた白石区栄通に1983年5月に徳洲会グループ10番目の病院として開院しました。その後、2012年に厚別区大谷地に新築移転しました。開院時は202床でスタートしましたが、現在は301床となり、20を超える診療科を標榜し地域(北海道)の医療を担う急性期病院となっています。2007年に外傷センターが開設されCTの件数が増加し、2022年に循環器内科に常勤医が就任したため心臓CTの件数が大幅に増加しました。放射線科は、放射線科医4名・診療放射線技師23名・クラーク1名で日々の業務を行っています。

 

心臓CT検査が時間短縮・低被ばくに

 

Revolution CTが導入される前までは他社製のCTで心臓CT検査を行っていましたが、Revolution CT導入後は95%以上の割合でRevolution CTを使用して検査しています。以前は複数心拍で撮影していましたが、Revolution CTでは基本1心拍で撮影しています。これにより大幅な被ばく低減が可能となりました。また、従来のCTでは心拍数が70bpmを超えた場合、β遮断薬を使用していましたが、Revolution CTとSnapShot Freeze2.0の効果によりβ遮断薬をほとんど使用せずに心臓CT検査を実施する事が可能となりました。さらに静止位相を特定するまでの時間も大幅に短縮され、解析しやすい画像が提供されるため、今まで心臓CTに関わっていなかった技師も解析に関わるようになりました。

また下図のように、特に高心拍時における心臓CT検査の運用フローが、従来と比べ大きく改善し、スループットの向上や看護師さん・患者さんの負担軽減にも繋がっています。

 

HR70bpmを超える心臓CT検査の運用フローの変化

 

 

症例:意思疎通・息止め撮影不可における心臓CT
検査前は心拍数が120bpmを超えて、意思疎通困難・呼吸停止不可という患者の条件が非常に悪い中での撮影。最適心位相にて自動的に再構成された画像においてもブレが大きく、静止画像は全く期待できないと感じましたが、SnapShot Freeze2.0にて処理を行った画像はブレが大きく改善され大変きれいな画像であり、苦労することなく画像解析をすることが出来ました。

 

 

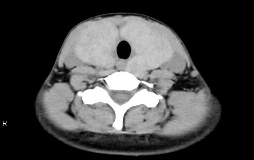
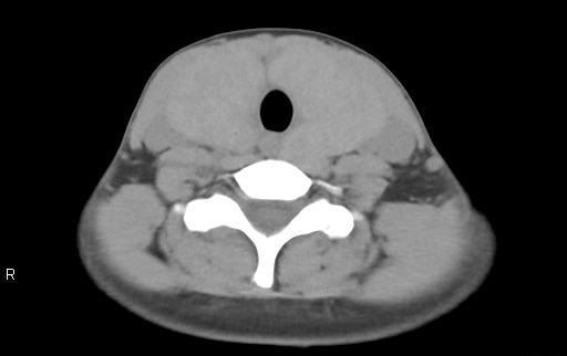
Dual Energyで甲状腺の容積測定が容易に

 

当院では、CTAや金属アーチファクトの低減、また甲状腺の容量測定のオーダーが出た場合にDual Energyにて撮影をしています。特に甲状腺の容量測定時は低keV画像を利用して容量測定を行っています。

下記症例は19歳女性、甲状腺摘出術前で甲状腺容量測定の依頼があり、従来のCT装置では、Dual Energy撮影が出来なかったため、管電圧120kVで撮影していましたが、甲状腺の辺縁が同定しにくく、辺縁をトレースするのに苦労していました。Revolution CTが導入され、Dual Energy撮影が可能となり、低keVの画像を使用することで、甲状腺のCT値が上昇し境界が明瞭になり、容量測定が容易になりました。

 


70keV

40keV

VR画像

 

救急や小児撮影における高速撮影の活用

 

当院は札幌市内でも救急搬送が多く、高エネルギー外傷患者など息止め不可能な患者のCT検査依頼もあり、更には小児科のCT検査依頼も多く、日常的に高速撮影が求められるケースが多くあります。

Revolution CTでは、フルデジタル検出器・80mmスキャン・ピッチ1.531に新たなヘリカルアーチファクト低減アルゴリズム等のGEヘルスケア独自の最新技術により、437mm/secの高速撮影が可能となっているため、高速でかつ高画質でのCT検査が可能となり、救急患者を長時間待たせることなく、スムーズに検査可能となりました。また、小児患者も寝かせることなく撮影できるので、Revolution CTは小児患者にも大変有用だと感じています。

 

まとめ

 

昨年ワイドカバレッジCTを2台導入し運用している中で、以下にRevolution CTのメリットをあげます。

  • 心臓撮影時の静止位相検索が容易(ほぼ、再構成された画像で解析可能)⇒スループット向上
  • 高心拍の患者でもβ遮断薬なしで検査可能⇒スループット向上
  • 1心拍で心臓を撮影可能⇒低被ばく
  • Dual EnergyでCTAや甲状腺容積測定におけるコントラスト向上⇒失敗無し、スループット向上
  • Dual Energyで金属アーチファクトを低減⇒口腔外科から重宝される
  • 80mmビームがルーチン撮影で使用できるため、撮影時間が短い⇒小児や息止め不良患者に有用
  • Organ Dose Modulation機能を使用することにより放射線感受性の高い部位の線量低減⇒低被ばく


Revolution CTを導入し約1年ほど使用しましたが、特に心臓CTにおけるSnapShot Freeze2.0で処理した画像は、期待以上の結果でした。ほとんど処理に失敗することはありません。今では心臓CTの患者さんが来ると、担当する技師全員がRevolution CTで検査準備を始めます。他社製のCTで心臓CTをすることは、あらかじめ予定していなければありません。その他、Dual Energy撮影や高速撮影・被ばく低減機能等、Revolution CTを導入することで多くの臨床的メリットを得ることができています。

 

※お客様の使用経験に基づく記載です。仕様値として保証するものではありません。

撮影条件や部位、体格によって実際の被ばく量は変わります。
記載内容は、お断わりなく変更することがありますのでご了承ください。

関連製品

JB07613JA