AIR™ Recon DLは、k空間データ全体に対してディープラーニングを用いたアルゴリズムを適用し画像再構成することで、ノイズ低減、画像尖鋭度の向上、トランケーションアーチファクトを軽減しながらスキャン時間を大幅に短縮することができる新しい画像再構成法である。現在使用中のソフトウェアバージョンでは、2DのSE法(高速SE、シングルショット、FLAIR、STIR)、GRE法、またDWIなどの幅広いコントラストや撮像シーケンスに対応している。
当院では、AIR™ Recon DLが使用できる場合においては、全例で用いており、それによりSNRが大幅に向上するため、同時に空間分解能も高める撮像条件へと変更している。加えて、加算回数(NEX)を減らすことで各シーケンスの撮像時間短縮にも繋がっている。AIR™ Recon DL の導入により、画質向上と検査時間の短縮が同時に実現され、限られた予約時間の中で、ルーチン検査に加えて臨床的に+αとなるシーケンスを追加することが可能となった。ここでは、頭部、骨盤、整形外科領域における臨床例を紹介する。
頭部領域での臨床応用 ~脳梗塞患者へVolume DWIの追加~
当院にはウォークインで来院され、症状も数日前の頭痛・めまい・ふらつきなどの主訴の患者が多く、主血管閉塞による脳梗塞よりも微小脳梗塞を疑う症例が多い。当院では、脳梗塞疑いの患者においては、Volume DWIを追加している(図6)。

図6 脳梗塞患者におけるVolume DWI
A. Volume DWI Axial、B. Coronal Reformat、C. Sagittal Reformat
スライス厚:2.2mm 撮像時間:2:40 min
Volume DWI は通常のDWI(Conventional DWI)よりもスライス厚が薄いため、微小脳梗塞の検出に優れ、MPR処理することにより他方向からの観察も容易となる一方で、SNRが低下しやすいデメリットがある。従来はSNRを担保するためには加算回数を増やす必要があり、予約時間枠外での撮像を余儀なくされていたが、AIR™ Recon DLによってConventional DWIと遜色ないSNRのVolume DWIを3分以内で撮像することが可能となり、予約検査時間内での追加撮像を可能としている。
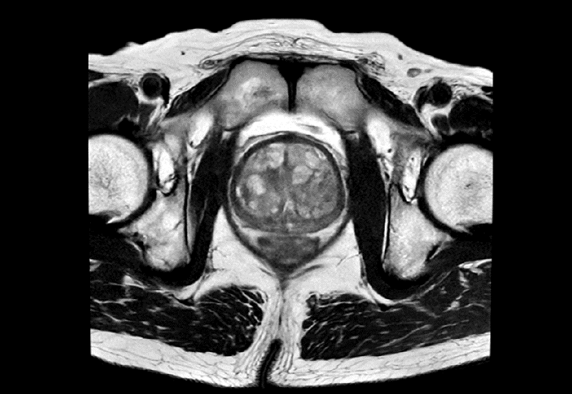
骨盤領域での臨床応用 ~PI-RADSに準拠した前立腺T2強調像~
前立腺マルチパラメトリックMRIの撮像条件や読影方法の標準化を目的として、Prostate Imaging and Reporting and Data System (以下PI-RADS) が提唱されている。PI-RADSが求めているT2強調像の分解能は、面内0.4×0.7mm以下、スライス厚3.0mm以下という高分解能が要求されるため、1.5T装置では十分なSNRを担保することが難しく、検査時間の都合上、それに準拠したシーケンスを組むことは容易ではなかった。しかし、AIR™ Recon DLにより空間分解能とSNRの向上の両立に加え、撮像時間の短縮が可能となるため、当院でもPI-RADS推奨条件下での検査を行うことができようになった(図7)。読影レポートにもPI-RADSカテゴリーが記載されるようになり、基幹病院への不要な紹介が減ることで患者の身体的・精神的な負担を軽減できるだけでなく、医師にも有益な情報を提供できている。

図7 PI-RADSに準拠した前立腺T2強調像
空間分解能:0.4×0.7×3mm 撮像時間:2:24min
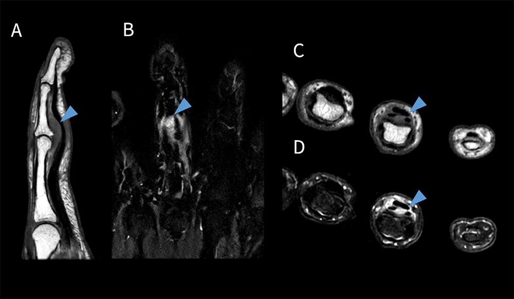
整形外科領域での臨床応用 ~高空間分解能と短時間撮像の両立~
整形外科領域の検査では、多くの撮像シーケンスや撮像断面が必要とされることが多く、加えて手指などの細かい構造物の描出も同時に求められるため、高分解能化に伴い撮像時間が延長することが懸念された。しかしながら、SIGNA™ Primeでは、面内の空間分解能やスライス分解能を向上させることによるノイズ増加が懸念される条件下でも、AIR™ Recon DLによってSNRが十分に担保され、同時に撮像時間の短縮まで可能となる。その結果、短時間かつ高分解能な画像が得られている(図8)。紹介検査においても、SIGNA™ Primeの導入により、以前までは依頼のなかった手指や腫瘍を対象とした検査依頼も増えており検査の幅が広がったと実感している。

図8 ガングリオン症例における手指撮像
A. T1強調像 Sagittal スライス厚:1.5mm 撮像時間:2:01 min
B. STIR像 Coronal スライス厚:2.0mm 撮像時間:1:50min
C. T1強調像 Axial スライス厚:2.0mm 撮像時間:1:47min
D. T2強調像 脂肪抑制 Axial スライス厚:2.0mm 撮像時間:1:40min