CT上にて肺野にすりガラス像を認め、PET画像上で淡いながらも集積を認められます(Fig.2)。
Fig.2
※Q.Clear、3D-OSEM共にGE社のデフォルト条件で再構成
3D-OSEM(従来法)で再構成した画像では、すりガラス像に一致した部位の集積は明らかではありません。Q.Clearを用いて再構成した画像では、淡いながらもすりガラス像に一致した集積が認められます。また、Q.Clearを用いて再構成した画像では、従来法と比べてノイズが低減されています。
すりガラス像部でのSUV測定結果は、従来法でSUVmax 0.69、SUVmean 0.48、Q.ClearでSUVmax 0.81、SUVmean 0.59となっており、Q.Clearで集積は増加しています。
また、すりガラス像の周辺肺野では従来法でSUVmax 0.58、SUVmean 0.43、Q.ClearでSUVmax 0.46、SUVmean 0.39となっており、Q.Clearで集積は低下し、そのピクセル毎のばらつきも抑えられています。
従来法では病変部とその周囲においてSUV値の変化量が少なく、集積無しとなっていたものが、Q.Clearでは淡いながらもコントラストが得られて集積として認めるようになりました。
従来の装置ではこのような肺野の微細な病変に対しては、CT画像上で確認できる病変部に対してROIを設定し、その周辺に正常部位のROIを設定することによってSUVを比較して読影医に画像を提供していましたが(Fig.3)、この方法では呼吸によるズレなども考慮するとPET画像上で正しいROIを設定できているのか判断に迷うことが多くありました。本症例ではPET画像上で直接SUV測定を行う事ができ、自信を持って読影医に画像を提供でき、高分化腺癌の可能性否定できずという結果になりました。

Fig.3 従来の測定の仕方。
CT上にROIを設定→PET画像上でSUV測定し、病変部と正常部にSUVの差があるかを確認。
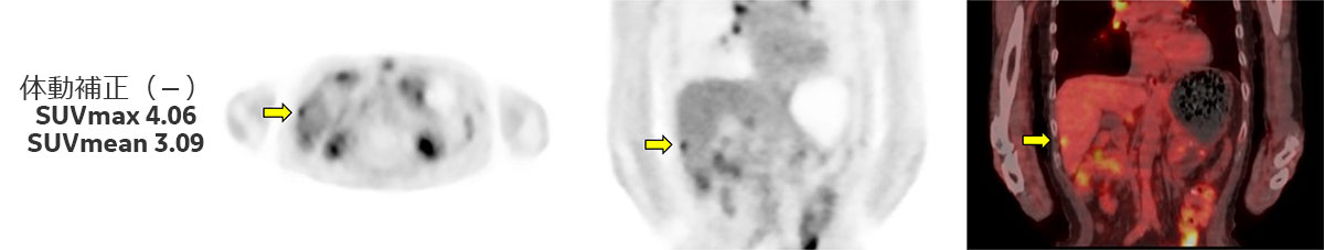
また、Discovery IQ2.0ではデバイスレスの体動補正であるAdvanced MotionFreeが搭載されており、PET画像とCT画像の位置ずれ軽減、診断精度の向上が期待できます。
上記とは別症例になりますが(Fig.4)、体動補正を行う事で病変部がより明瞭となっているだけでなく、SUV測定結果では体動補正無しでSUVmax 4.06、SUVmean 3.09だったものが、体動補正を行う事によりSUVmax 5.71、SUVmean 4.06とSUVの上昇も認められています。