日本最西端より!
高感度PET装置Disovery IQの使用経験/読影に役立つアプリケーション


豊見城中央病院附属 豊崎クリニック 沖縄PET画像診断センター
院長 小渡 宏之 先生

施設紹介

 

豊崎クリニックは2004年、全国の市を対象に集計された「全都市/成長力ランキング」において常に上位にランキングされている豊見城市に、沖縄県内で最初に開設されたPET施設です。沖縄県内の基幹病院、診療所、健診機関と連携し、地域医療への貢献に努めています。特に南部地域における紹介患者数は圧倒的に多く、中核的医療機関である友愛医療センターとは、同じ友愛会グループとして強固な連携を保持しています。友愛会グループは、がん診療連携拠点病院として、がん診療の質の向上とがん患者様の支援に努めています。具体的には、早期発見としての私どもPET施設の他に、健康管理センター、外科療法(手術)として手術室、化学療法(投薬)として化学療法室、放射線療法として放射線治療器、終末期ケアとして緩和ケア病棟が充実しており、グループ内でがん治療が完結される体制が整っています。また、当施設は空港から車で約20分と交通アクセスも良いため、県外、国外からの検診受診者も多く、すべての受診者に常に最良の医療サービスを提供できるように努めています。

豊崎クリニック外観

 

2006年から使用しているPET/CT装置を更新する際の条件として、1日に多くの検査数が可能になるよう、『 短時間検査が可能であること 』に重点を置いて選定を行ないました。『 Discovery IQ 』は体軸方向における検出器幅が広く、感度が良いこと、さらに、呼吸同期撮像がデバイス無しで可能であるため、受診者の入退室も含めた短時間検査が可能であると判断しました。画質もQ.Clearの働きにより、短時間撮像でも微少病変の描出が可能であること、ノイズの少ないクリアな画質に魅力を感じました。
また、読影端末のワークステーションには、多岐に及ぶ集積がある場合でも、自動でSUVの順位付けが可能なPET VCARを使用することによって、読影時間の短縮が可能であることが購入の決め手となりました。今回はその使用経験を、沖縄よりお伝えします。

 

Discovery IQの運用状況と画質に関して

当院では現在2台のPET/CT装置でFDGの保険診療、検診を行っています。Discovery IQでは、主に保険診療の検査を実施しており、1日でFDG PETを約10件実施しています。検査枠を考慮し、現在は1検査あたりのFDG PETのルーチン検査時間を呼吸同期含めて10~14分としています。この条件でも従来機種より検査時間は圧倒的に早く終わりますが、安静が困難な場合には収集時間を10分以内にさらに短縮させた高速収集を実施しています。Discovery IQ 導入後にもう一台のPET装置が故障したことがありましたが、Discovery IQに検査を回すことで無事に1日の検査をキャンセルすることなく終えることが出来ました。Discovery IQの高感度の特性を活かし高速で検査が可能なので多くの検査数を実施することができ、とても有用だと感じています。さらに投与量も従来と比較して約30%低減させることが出来ました。短時間収集、低投与量とPET検査にとっては厳しい条件にしていますがPET画像の画質は従来装置より向上しており、目が疲れずに読影が出来ています。

 

Discovery IQにはデバイスレス呼吸同期(以下、AM edition)が収集中に自動で組み込まれるようになっています。従来は1cm未満の集積は分からないと言われていたのですが、AM editionのおかげで肺内の4 mm程度の小結節の集積が分かることがあります。以前はCT画像上のみで小結節があることを読影レポートに記載するだけでしたがPET画像上でもはっきりと小結節への集積が確認出来るため、解像度が向上し、精度が良くなっていることを感じています。また、AM editionは呼吸の動きによる集積のブレが抑えられ、ブレの少ないPET画像を作成できるので読影のストレスも軽減しました。FDGのてんかん検査も2~3か月に一回の頻度で検査を実施していますが、従来機に比べると頭部のPET画像でも画質向上を実感しています。

 

70代 男性 肺がん:術後脳転移に対する放射線治療後の全身検索目的でFDG-PET検査施行
約4mmの肺転移(SUVmax=0.84)

約9mmの肺転移(SUVmax=2.08)

 

AW Serverでの読影に関して

 

AW Serverでは任意のレイアウトを作成することができ、Early用、Delay用、CT用、頭部専用と主に4つの自分専用にカスタマイズされたレイアウトを使用して読影をしています。AW ServerはWindows上で起動させることが出来るため、自分で外部ツールを利用してマクロを組むことで画像表示や画像スクロールを自動化し、使用しやすいようにカスタマイズしています。例えば読影する際には頭頂部から読影を行うようにしていますので、1ボタンで画像を表示した際に頭頂部に移動し、かつPET及びCTが脳の表示条件になるようにカスタマイズして使用しています。

 

当院ではDelay収集を生理的集積との鑑別を目的に行うことがあります。Delay収集の頻度はDiscovery IQによる画質向上効果もあり、全体の約3%程度と少なくなりました。実際にDelay収集を行った際にはDelay用のレイアウトでEarly画像との比較読影をしていますが、AW Server上でEarly画像、Delay画像のスライス位置調整を自動で精度よく実施してくれるので便利だと思います。

 

また、読影に役立つAW Server上のアプリケーションとしてPET VCAR、Bone VCARのアプリケーションを使用していますので、その活用例を紹介します。

 

・PET VCAR
悪性リンパ腫や多発骨転移においてSUVが一番高い集積を見つけるのにPET VCARの多病変検出機能を利用しています。PET VCARでは病変を抽出するためのSUV閾値とその適応範囲を設定することによって、複数の病変を自動で抽出してきてくれます。最終的にサマリーテーブルを使用することで、複数のVOIの中で最もSUVが高い病変をすぐに確認出来るようになりました。この機能により、多病変の症例においてSUV測定が簡便になりました。
以前使用していたビューワーでは高い集積を複数箇所手動でSUV測定をし、その中でSUVが最大の集積を読影レポートに記載していました。この場合は多くの時間がかかっていましたが、PET VCARを使用することによって読影効率が向上しました。多いときには1日1例程度、悪性リンパ腫の症例があるので、日々有効活用しています。

50代 男性 悪性リンパ腫:治療前の病期診断のためFDG-PET検査施行
任意の閾値以上のSUV(例 SUV>6.5)を抽出し、SUVの高い順にサマリーテーブルから確認可能

 

・Bone VCAR
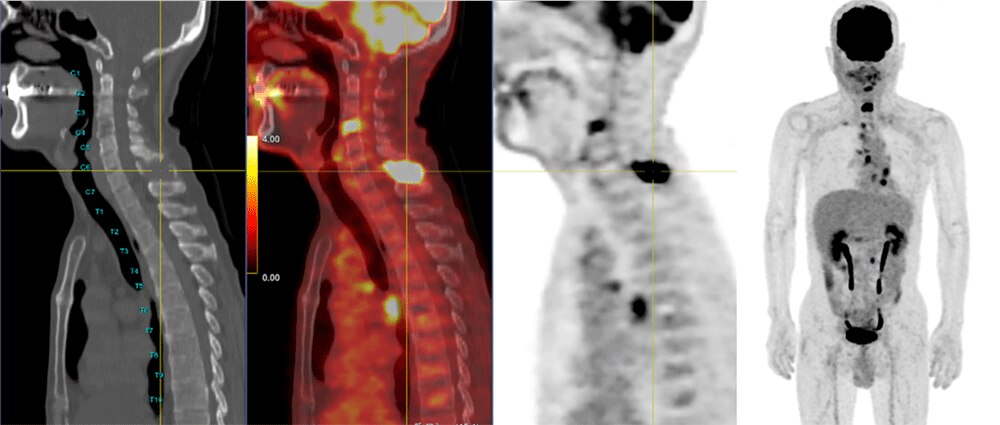
Bone VCARとは、読み込んだCT画像から椎体の番号を自動でラベリングしてくれる機能です。椎体に圧迫骨折がある場合や異常集積がある場合に使用しています。読影レポートを作成する際に集積位置を椎体の何番目にあるかを記載することがありますので、その際に自動でラベリングする機能が役に立っています。

50代 男性 肺がん:術後腫瘍マーカー上昇のためFDG-PET検査施行
C7(SUVmax=10.28)の棘突起、C4(SUVmax=5.44)椎体等に転移あり
(写真ではわかりにくいが、左端の画像で椎体の前方にレベルが表示されている)

 

サポート体制に関して

 

Disovery IQを導入して1年以上経ちますが大きなPET装置のトラブルがなく、安定稼働しています。PETコンソールにはTiPVAと呼ばれるアプリケーションの方と実機の画面共有が出来る機能があり、新しい検査や困ったことがあっても安心して装置を使用することが出来ています。

 

今後の期待、まとめ

 

Discovery IQであれば1台あたりの検査件数を1日16件程度まで増やすことが出来ると考えています。従いまして現在は保険診療をメインで行っているDiscovery IQで、将来的には検診も行っていくことを検討しています。今後はAI等の最新技術を駆使して、Discovery IQ 、AW Serverのアプリケーションがより進化することを期待しています。

 


豊崎クリニックスタッフ先生方

 

※お客様の使用経験に基づく記載です。仕様値として保証するものではありません。

関連製品

JB06404JA