Senographe Pristina
クリニックにおけるトモシンセシスの運用


まつえ城下町レディースクリニック
原田 なぎさ 様

院長から施設の紹介

 

2021年5月29日に新規開業した乳腺専門クリニックです。医師1人、診療放射線技師1人(開業3か月目より2人)、看護師3人、医療事務2人で構成されています。マンパワーに制限があり、MRIなどの高額医療器機を持たない無床診療所にとって、検診におけるがんの見落としを最小限に抑えるためデジタルマンモグラフィ装置(トモシンセシス機能付き)と自動全乳房超音波装置InveniaABUS(以下ABUS)の導入は大変有用で心強く感じております。
また、検査時間も比較的短時間で済むため、汎用性が高く、気軽に受けていただけるため、特に日常生活が多忙な方にも好評です。
地域に向けてGE社製の質の高いマンモグラフィ検査と乳房超音波検査の両装置を使った併用検診を積極的に啓発していきたいと考えております。



外来の状況

マンモグラフィ検査の検査数はひと月に約140件前後です。乳腺外来で来院される方は、症状がある方と乳癌検診のために来院される方といらっしゃいますが、症状がある方が多い状況です。
受診者の年齢は20~50歳台が多く、40歳台が一番多く60歳以上は少ない傾向です。インターネットでの完全予約制のため、比較的に若い世代の方に多く受診いただいています。



検査の流れ

外来患者さんは、問診後にマンモグラフィ検査、その後超音波検査、最後に院長の診察を行います。診療放射線技師2名がマンモグラフィ検査を行い、そのままハンドヘルドによる超音波検査まで対応します。外来時のマンモグラフィ検査は2D+トモシンセシス撮影を行います。撮影後は技師も読影し、ポジショニング時の違和感なども含め所見をレポートに記入しています。

自由診療の場合は、看護師から問診の時にトモシンセシス撮影が要精査率を下げるなど受診者に理解頂けるようトモシンセシスのメリットを丁寧に説明しています。



乳がん検診率向上のための活動

同時併用乳がん検診の導入
J-STARTの経過報告からもマンモグラフィ画像を参照しながら乳房超音波検査を行う同時併用乳がん検診が望ましいとされています。しかし、両方の検査を担う当院の診療放射線技師のマンパワーを考慮すると検査件数が多くなってきた場合、現実的に運用が難しいと考え、当院では同時併用検診を地域に啓発していくため、デジタルマンモグラフィ装置(トモシンセシス機能付き)と、従来型ハンドヘルド乳房超音波装置(以下HHUS)に加えて、ABUSを開業と同時に導入しました。

運用は乳がん検診のみとし、乳房超音波検査の併用を希望された患者様に対してHHUSとABUSの違いを説明したうえで、ABUSを選択された場合は技師の指導ものと主に看護師が検査を行い、読影はMMGとABUSを同時に行い、診断結果レポートを後日郵送にて報告しています。

 

トモシンセシスの活用
検診ではトモシンセシスをオプションとしてご案内しています。今年は企業にも当院で検診を受けてもらうようなご案内をしています。お話をさせて頂く企業の担当者は女性が多く、通常のマンモグラフィ検査とトモシンセシスの違いを説明すると共感頂けることが多いと感じています。企業検診の契約特典としてトモシンセシスを提案しています。

また、テレビにも数回出演したことで、当院のトモシンセシスは「痛みが少ない検査」「松江にはこれまでなかったので珍しい」ということで宣伝ができてきているのではないかと思っています。

 

【症例紹介】

 

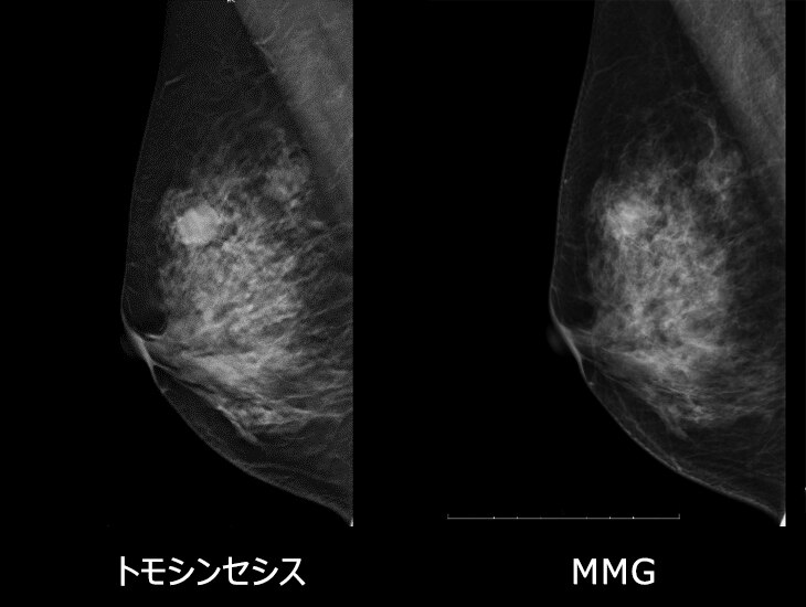
  • MMG所見:右乳房M/O域 FAD+、淡く不明瞭な石灰化が集簇性にあり、カテゴリー3
  • トモシンセシス:16.5㎜大の分葉形等~高濃度腫瘤あり、境界は微細鋸歯状、構築の乱れを伴い、淡く不明瞭な石灰化伴う→存在診断がより明確になりカテゴリー4にあがる症例
  • 病理組織:Invasive ductal carcinoma scirrhous type

 

 

  • MMG所見:左乳房M/L,I域 41㎜楕円形等濃度腫瘤あり、スピキュラ+
  • トモシンセシス:M領域 構築の乱れが顕著化
  • 病理組織:Invasive ductal carcinoma scirrhous type

 

受診者への追加検査のご案内
マンモグラフィ撮影後は受診者にその場で画像を見て頂いています。操作卓の高精細モニターを使い、撮影直後にご自分の乳房画像を見て頂いています。私たちは高濃度乳房か否か、高濃度乳房のリスクについて説明し、超音波検査との併用検診や、トモシンセシスの追加により、高い精度で検診ができることをご案内しています。自分の画像を見ることで、乳がん検診に関心を持って頂きやすく、今年はトモシンセシスの追加をしよう、次年度は超音波検査との併用にしようかと、受診者とのコミュニケーションにも繋がっています。

 

 

SNSの活用
乳がん検診の重要性を周知させるためにもSNSを活用して発信しています。島根県の女性の検診に対する意識をあげることにも貢献したいと考えています。

 

マンモグラフィの選定に関して

トモシンセシスへの期待と高頻度で使用するだろうということを考えていたので、選定時の条件は①トモシンセシスがあること、②患者さんへの負担を考えて、検査時間が短いことでした。

院長は講習会でGE社の画像を見たことがあり、石灰化がきれいに見えたと臨床の評価もありました。選定の条件も満たし、改めて各社の画像を比較検討し、GE社の画像が臨床での運用価値が高いと評価し採用しました。

受診者の声を紹介

マンモグラフィ室に入ると、Pristinaは斜めに設置されています。照明の効果もありローズピンクがきれいに見えます。患者さんからは装置中央のライト部分がきれいだと言われることもあります。また、周辺の医療機関でも受診されたことがある方は、他の施設のマンモグラフィ装置よりもPristinaがコンパクトに見えるそうです。ブッキ―が薄いから圧迫感がないのではないかと思っています。
「最新の機械だね」「すごいですね」と言われることもあり、スマートなデザインがそのような印象を与えてくれているのだと思います。

 

「思ったほど痛くなかった」と言って頂けます。圧迫板の降下スピードは、乳房を圧迫するとやさしくゆっくりとなるので、早すぎず安心したと言って頂けたこともあります。ブッキ―の形状が丸いので、乳房だけでなく、体にあたる感覚が違うところも感じて頂いているのではないかと思います。
受診者から痛くないという声を聞くこと多く、嬉しく思っています。中には被ばくをしたくないから撮影したくないと言われる方もいらっしゃいます。40歳~50歳台の方や、不妊治療中の方は特に気にされています。GE社のマンモグラフィは被ばくが少ないため、トモシンセシスを追加しても被ばくが少なくて済むところも患者さんに説明しやすいと感じています。

※お客様の使用経験に基づく記載です。仕様値として保証するものではありません。

関連製品

JB05447JA